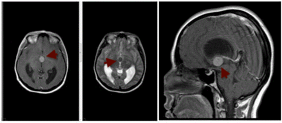
Τι είναι η κολλοειδής κύστη;
Η κολλοειδής κύστη, είναι ένας σπάνιος, αργά εξελισσόμενος καλοήθης όγκος του εγκεφάλου.
Εντοπίζεται στο πρόσθιο τμήμα της 3ης κοιλίας, στο κέντρο του εγκεφάλου, σε σημείο τπου εμποδίζει τη φυσιολογική ροή του εγκεφαλονωτιαίου υγρού.
Πρόκειται για μία κύστη, το σχήμα της οποίας θυμίζει ρόγα από σταφύλι και περιέχει ένα κολλώδες υγρό σαν βλέννη.

Η κολλοειδής κύστη μπορεί να προκαλέσει οξύ αποφρακτικό υδροκέφαλο, αυξημένη ενδοκρανιακή πίεση ή ακόμα και αιφνίδιο θάνατο από ανακοκπή, καθώς πιέζει τον υποθάλαμο που ρυθμίζει την καρδιακή λειτουργία.
Τα συμπτώματα της κολλοειδούς κύστης περιλαμβάνουν:
- Κεφαλαλγίες (πονοκέφαλοι, που μπορεί να είναι έντονοι το πρωί και να ξυπνούν τον ασθενή τη νύχτα)
- Επιληπτικές κρίσεις
- Αστάθεια βάδισης – διαταραχές ισορροπίας
- Διαταραχές όρασης (θόλωση, διπλωπία, μείωση όρασης, περιορισμός οπτικών πεδίων)
- Ζάλη
- Ακράτεια ούρων
- Εμβοές (βουητό στα αυτιά
- Αλλαγές συμπεριφοράς και προσωπικότητας
- Σύγχυση
Σύγχρονη νευροχειρουργική αντιμετώπιση της κολλοειδούς κύστης
Οι σύγχρονες τεχνικές επιτρέπουν την πιο ριζική αφαίρεση των κολλοειδών κύστεων, ακόμα και στις πιο δυσπρόσιτες περιοχές του εγκεφάλου, ενώ ταυτοχρόνως προστατεύουν τα σημαντικά λειτουργικά κέντρα του εγκεφάλου.
Οι τεχνικές αυτές, είναι η νευροπλοήγηση, η λειτουργική μαγνητική τομογραφία, ο διεγχειρητικός νευροφυσιολογικός έλεγχος και η διεγχειρητική απεικόνιση μέσω υπερήχου ή ειδικών συστημάτων διεγχειρητικής μαγνητικής τομογραφίας.
Στόχος της χειρουργικής επέμβασης είναι η απομάκρυνση του όγκου και η πρώτη προτεραιότητα είναι η διατήρηση ή βελτίωση των νευρολογικών λειτουργιών του ασθενούς.
Χειρουργικές τεχνικές για την αφαίρεση της κολλοειδούς κύστης
- Κρανιοτομία: με τη χρήση νευροπλοήγησης, η οποία ενσωματώνει δεδομένα της μαγνητικής και της αξονικής τομογραφίας, παρέχεται τρισδιάστατη απεικόνιση και αποτυπώνεται η εικόνα της μαγνητικής τομογραφίας ακριβώς στη θέση της βλάβης στον εγκέφαλο του ασθενούς. Με αυτό τον τρόπο, εντοπίζεται με εξαιρετική ακρίβεια η θέση του όγκου που αφαιρεί ο νευροχειρουργός.
Με το νευροχειρουργικό μικροσκόπιο και τη νευροπλοήγηση, ο όγκος αφαιρείται με ακρίβεια,
ενώ προστατεύονται οι περιοχές του φυσιολογικού εγκεφάλου.
- Διεγχειρητική χαρτογράφηση εγκεφάλου (κρανιοτομία σε εγρήγορση): Σε επεμβάσεις για την αφαίρεση όγκων που βρίσκονται σε λειτουργικές περιοχές του εγκεφάλου, ορισμένες φορές απαιτείται να είναι ο ασθενής σε εγρήγορση, για να εκτιμάται συνεχώς κατά τη διάρκεια της επέμβασης η λειτουργική του εικόνα (παραδείγματος χάριν η εκφορά του λόγου).
Η μέθοδος αυτή δίνει τη δυνατότητα λειτουργικής χαρτογράφησης του εγκεφάλου και παρέχει στον νευροχειρουργό τη δυνατότητα να επιλέξει την πιο ασφαλή δίοδο για την αφαίρεση του όγκου, ενώ ελαχιστοποιεί την πιθανότητα νευρολογικού ελλείμματος. Αντί για γενική αναισθησία, γίνεται περιοχική αναισθησία και φυσικά, ο ασθενής δεν νιώθει το παραμικρό.