Μεταστατικοί (δευτεροπαθείς) όγκοι

Τι είναι ο μεταστατικός όγκος εγκεφάλου;

Ο μεταστατικός (δευτεροπαθής) όγκος εγκεφάλου ξεκινάει ως καρκίνος σε κάποιο άλλο σημείο του σώματος και διασπείρεται στον εγκέφαλο. Οι μεταστατικοί όγκοι του εγκεφάλου, θεωρούνται στο σύνολό τους κακοήθεις.

Ένας στους τέσσερις ασθενείς με καρκίνο παρουσιάζει μετάσταση στον εγκέφαλο. Περίπου το 40% των ασθενών με καρκίνο του πνεύμονα αναπτύσσει μετάσταση στον εγκέφαλο.

Οι αλματώδεις εξελίξεις τόσο στο επίπεδο της πρώιμης διάγνωσης, όσο και στο επίπεδο της θεραπείας με τη στερεοτακτική νευροχειρουργική, την ακτινοθεραπεία και την χημειοθεραπεία έχουν βελτιώσει σημαντικά το προσδόκιμο ζωής των ασθενών και την ποιότητα της ζωής τους.

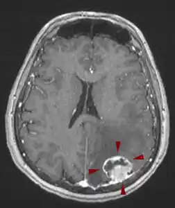
pollapes metastaseis 1 300x300Οι πιο συχνοί όγκοι, οι οποίοι μπορεί να κάνουν μεταστάσεις στον εγκέφαλο είναι:

  • Καρκίνος πνεύμονα
  • Καρκίνος μαστού
  • Καρκίνος παχέος εντέρου
  • Καρκίνος νεφρού
  • Καρκίνος δέρματος (μελάνωμα)

Ορισμένοι μεταστατικοί όγκοι εγκεφάλου παρουσιάζονται πολλά χρόνια μετά από τον πρωτοπαθή καρκίνο. Σε ορισμένες περιπτώσεις, η εμφάνιση βλάβης στον εγκέφαλο, δεν συνοδεύεται από ανεύρεση της πρωτοπαθούς εστίας, κάτι που είναι δυνατό να γίνει σε μεταγενέστερο χρόνο ή με βάση τα ιστολογικά χαρακτηριστικά της βιοψίας.

Θεραπείες για τους μεταστατικούς όγκους εγκεφάλου

egkefaliki metastasi melanoma 252x300Οι κύριες θεραπείες για τους μεταστατικούς όγκους του εγκεφάλου είναι:

  • Χειρουργική επέμβαση για την αφαίρεση του όγκου, η οποία ακολουθείται από ακτινοχειρουργική-ακτινοθεραπεία
  • Ακτινοθεραπεία (ακτινοχειρουργική και / ή ακτινοθεραπεία)
  • Χημειοθεραπεία

Η αντιμετώπιση του συνόλου των μεταστατικών αλλοιώσεων του εγκεφάλου είναι ολιστική και διενεργείται με τη συνεργασία των ογκολόγων και ακτινοθεραπευτών.

 

 

Τα συμπτώματα του μεταστατικού όγκου εγκεφάλου, περιλαμβάνουν:

  • Κεφαλαλγίες (πονοκέφαλοι, που μπορεί να είναι έντονοι το πρωί και να ξυπνούν τον ασθενή τη νύχτα)
  • Επιληπτικές κρίσεις
  • Αδυναμία άνω ή κάτω άκρων
  • Αστάθεια βάδισης – διαταραχές ισορροπίας
  • Απώλεια μνήμης
  • Διαταραχές ομιλίας
  • Αλλαγές συμπεριφοράς και προσωπικότητας
  • Διαταραχές όρασης (θόλωση, διπλωπία, μείωση όρασης, περιορισμός οπτικών πεδίων)
  • Μούδιασμα (αιμωδίες)
  • Απώλεια ακοής
  • Εμβοές (βουητό στα αυτιά)
  • Απώλεια οσμής
  • Σύγχυση
  • Ακράτεια ούρων
  • Ναυτία, έμετοι
Image

Dr. Ευσταθιος Σαμαρας

Επικοινωνήστε με τον Δρ. Ευστάθιο Σαμαρά στο 6942056036 για περισσότερες πληροφορίες και αναλυτική ενημέρωση.

Στην NSO κλινική, η καταρτισμένη ιατρική μας ομάδα προσφέρει εξατομικευμένη και άμεση διάγνωση, καθώς και σύγχρονη και ανθρώπινη προσέγγιση των ασθενών για το σύνολο των παθήσεων που αφορούν στον εγκέφαλο, την σπονδυλική στήλη και τις ορθοπαιδικές παθήσεις.

Ο Δρ. Ευστάθιος Σαμαράς είναι Νευροχειρουργός, εξειδικευμένος στην ελάχιστα επεμβατική χειρουργική εγκεφάλου και σπονδυλικής στήλης. Ο ιατρός τελεί ως Διευθυντής του Νευροχειρουργικού Τμήματος της Κλινικής Σπονδυλικής Στήλης και Μεγάλων Αρθρώσεων στο Metropolitan General.

Η ιατρικη μας ομαδα

Image

Dr. Πέτρος Σταύρος

Ορθοπαιδικός Χειρουργός

 
Image

Dr. Δημήτριος Λύρας

Ορθοπαιδικός Χειρουργός


 
 








 
Image

Dr. Ευστάθιος Σαμαράς

Νευροχειρουργός


 
 








 

Ο Δρ. Πέτρος Σταύρος στην εκπομπή «Υγεία πάνω απ΄ όλα» (ΑΝΤ1)

  • metro
  • elEtairia
  • amc

Επικοινωνια