Επισκληρίδιο αιμάτωμα

Το επισκληρίδιο αιμάτωμα είναι αιμορραγία στην περιοχή μεταξύ του κρανίου και της εξωτερικής από τις τρεις προστατευτικές μεμβράνες που περιβάλλουν τον εγκέφαλο (σκληρά μήνιγγα).

Τα επισκληρίδια αιματώματα, συνήθως προκαλούνται από τραυματική ρήξη αρτηριών.

Στις περισσότερες περιπτώσεις, είναι απαραίτητη η επείγουσα νευροχειρουργική επέμβαση για να αφαιρεθεί.

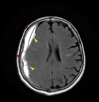
episkliridio yposkleridio aimatoma 375x388

ΕΠΙΣΚΛΗΡΙΔΙΟ (ΚΟΚΚΙΝΑ ΒΕΛΗ) + ΥΠΟΣΚΛΗΡΙΔΙΟ (ΚΙΤΡΙΝΑ ΒΕΛΗ) ΑΙΜΑΤΩΜΑ

Τι είναι το φωτεινό διάλειμμα;

Συχνά στις περιπτώσεις επισκληριδίου αιματώματος, ο ασθενής νιώθει αρκετά καλά μετά τον τραυματισμό, αλλά ξαφνικά μπορεί να πέσει σε κώμα. Η περίοδος της φαινομενικής βελτίωσης, πριν αυξηθεί το αιμάτωμα, ονομάζεται φωτεινό διάλειμμα.

Το φωτεινό διάλειμμα είναι πιθανό να καθησυχάσει τον ασθενή, τους οικείους του, αλλά και τους γιατρούς.

Εάν δεν γίνει χειρουργική επέμβαση στον ασθενή με επισκληρίδιο αιμάτωμα, απειλείται η ζωή του.

Image

Dr. Ευσταθιος Σαμαρας

Επικοινωνήστε με τον Δρ. Ευστάθιο Σαμαρά στο 6942056036 για περισσότερες πληροφορίες και αναλυτική ενημέρωση.

Στην NSO κλινική, η καταρτισμένη ιατρική μας ομάδα προσφέρει εξατομικευμένη και άμεση διάγνωση, καθώς και σύγχρονη και ανθρώπινη προσέγγιση των ασθενών για το σύνολο των παθήσεων που αφορούν στον εγκέφαλο, την σπονδυλική στήλη και τις ορθοπαιδικές παθήσεις.

Ο Δρ. Ευστάθιος Σαμαράς είναι Νευροχειρουργός, εξειδικευμένος στην ελάχιστα επεμβατική χειρουργική εγκεφάλου και σπονδυλικής στήλης. Ο ιατρός τελεί ως Διευθυντής του Νευροχειρουργικού Τμήματος της Κλινικής Σπονδυλικής Στήλης και Μεγάλων Αρθρώσεων στο Metropolitan General.

Η ιατρικη μας ομαδα

Image

Dr. Πέτρος Σταύρος

Ορθοπαιδικός Χειρουργός

 
Image

Dr. Δημήτριος Λύρας

Ορθοπαιδικός Χειρουργός


 
 








 
Image

Dr. Ευστάθιος Σαμαράς

Νευροχειρουργός


 
 








 

Ο Δρ. Πέτρος Σταύρος στην εκπομπή «Υγεία πάνω απ΄ όλα» (ΑΝΤ1)

  • metro
  • elEtairia
  • amc

Επικοινωνια